History:
The gelding had been treated with 3 different antibiotics over the past 3 weeks and there were no improvements in clinical signs. The problem started after the horse had been transported approximately 12 hours via truck and trailer. Within 24 hours of arriving to the show grounds the gelding was sick!
Physical exam:
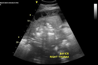
When I examined the horse, the gelding was in distress! His heart rate was 80 bpm, respiratory rate was 60-70 bpm (shallow) and his body temperature was 102 degrees. Auscultation of the thorax noted lung sounds (sound of air moving in and out of lungs) on both sides of the horse only ABOVE the level of the shoulder but lung sounds were absent or muffled below the level of the shoulder. Suspecting pleuropneumonia, I performed a trans-thoracic ultrasound exam. A significant amount of fluid was noted in the pleural space along with large fibrin tags and multiple abscesses! ( Figure 1-3).
| ||||
| Figure 1 |
In the video clips below, the fibrin tags can be seen "floating" in the excessive fluid within the pleural space. In addition, the fluid appears as "cellular" suggesting a heavy component of fibrin and purulent debris (pus).
In Figure 2-3, large abscesses are noted adjacent to the body wall. Ultimately, these abscess would need to be exteriorized through a rib resection in order for the horse to completely heal. Unfortunately, the ultrasound findings combined with the severe physical distress were very poor prognostic indicators and the owner elected humane euthanasia! There was near zero chance that this horse could have been saved regardless of the medical and surgical intervention provided!
![]() |
| Figure 2 |
![]() |
| Figure 3 |











